• eod01Extraoralt drag
  • eod02Extraoralt drag
  • eod03eod03
  • eod03xeod03x
  • eod04Extraoralt drag

  • bondemarkare01Bondemarkare
  • bondemarkare02Bondemarkare
  • carriere01Carrière Distalizer
  • carriere02Carrière Distalizer
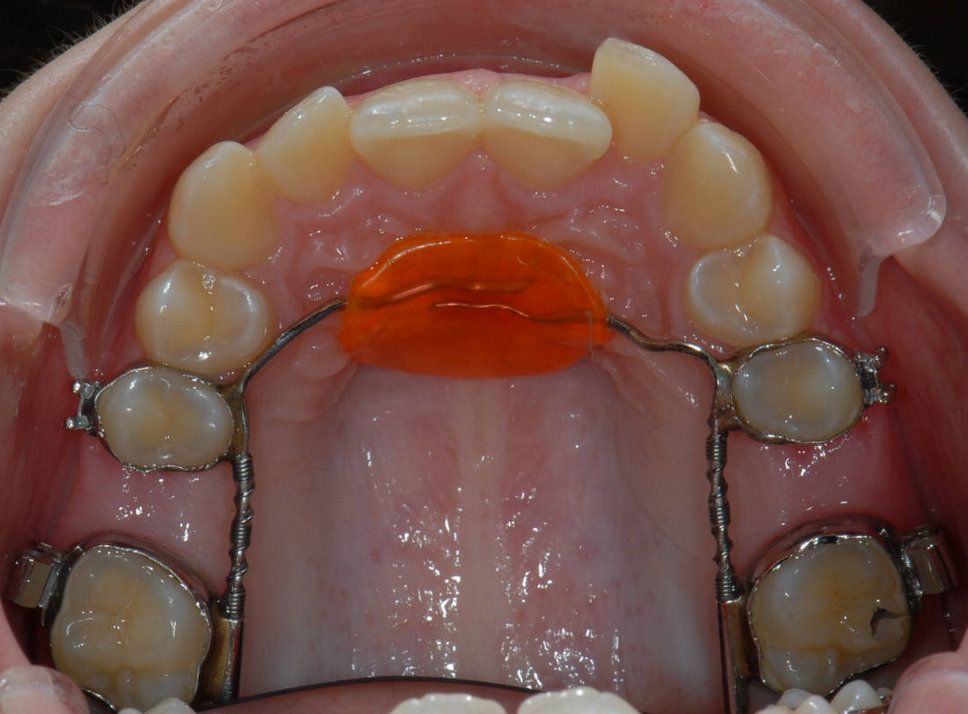
  • lipbumper01Lipbumper
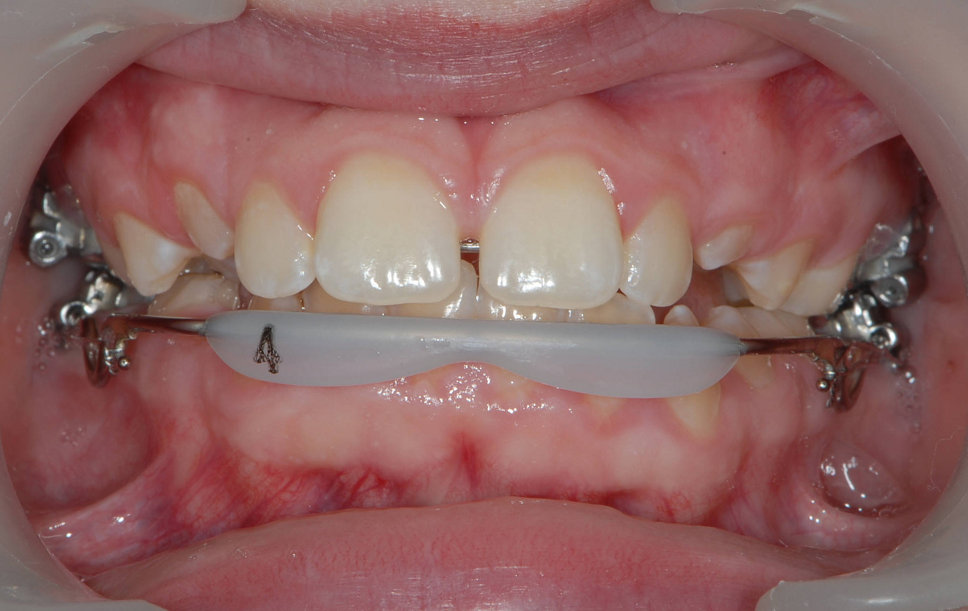
  • lipbumper02Lipbumper
  • lipbumper03Lipbumper
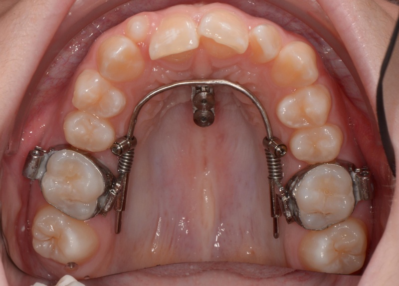
  • miniskruv00Distal slider