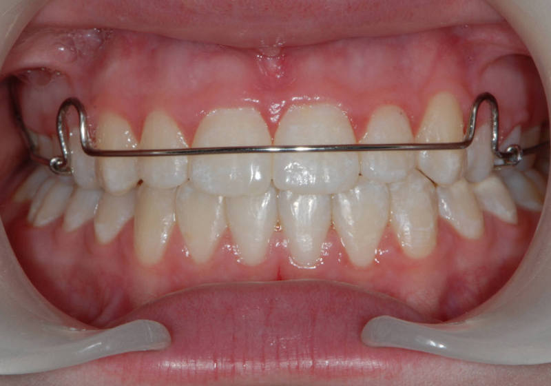
c-t-c retainer
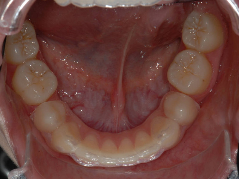
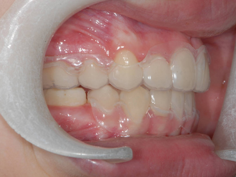
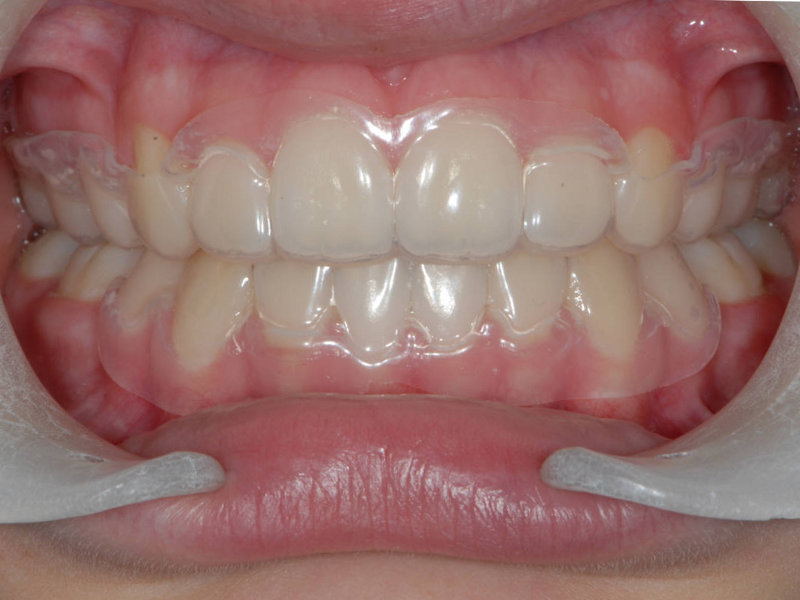
Essixskena (C)
Essixskena (C)
Essixskena (C)
Essixskena (C)
Essixskena (C)
TwistFlex retainer
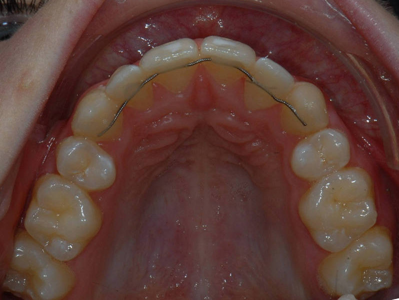
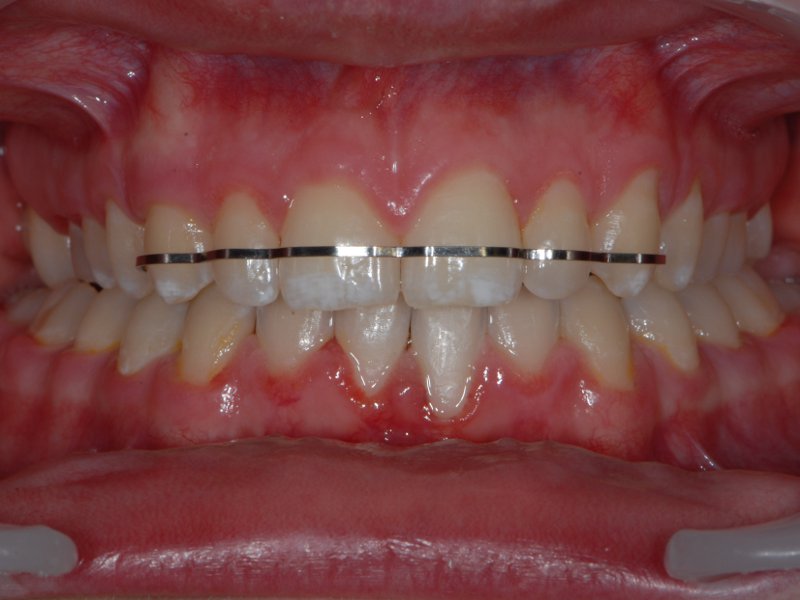
Flatwire retainer
Flatwire retainer
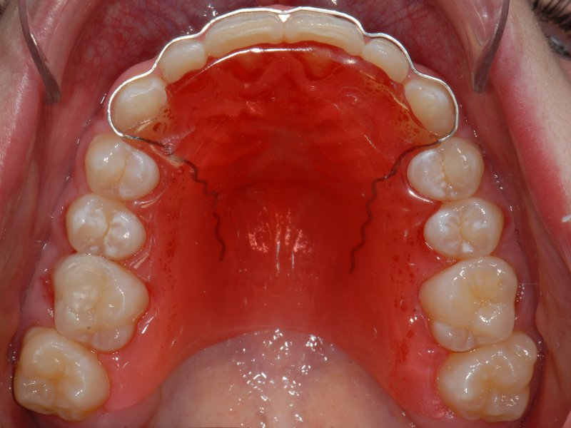
Alexanderplåt
Alexanderplåt
Alexanderplåt
Retentionsplåt med tungavvisare
Retentionsplåt med tungavvisare
Retentionsplåt med tungavvisare
Lathund för debitering av retentionsapparatur