Folktandvården Region Gävleborg
Information
Apparaturer
Extraorala apparaturer
Avtagbara apparaturer
Distalisering
Fast apparatur
Transversell vidgning
Förankring
Retention
Komplikationer
Estetik
Visa alla bilder
IOTN
Hur fungerar IOTN?
Dental Health Component
Aesthetic Component
MOCDO snabbguide
Checklistor
Styrdokument tandreglering
Tanderuption
Separering
Lingualbåge
Quad Helix
Transpalatinal bar
Kostnader basortodonti
Kostnader ortodontisk behandling
Debitering retentionsapparatur
Informationsblad
Aktivator - Bass
Aktivator - Teuscher
Fotografering
Våra specialister
Orto Lab
Här finns vi
Kontakta oss
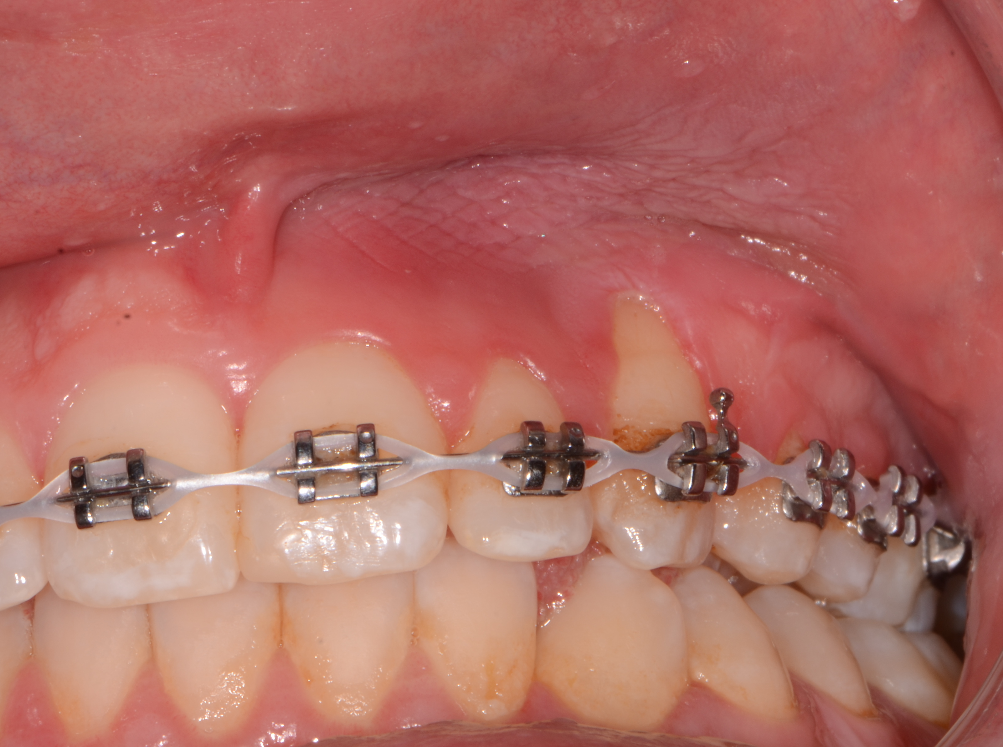
Komplikationer
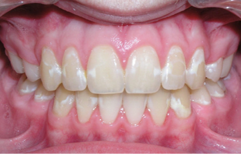
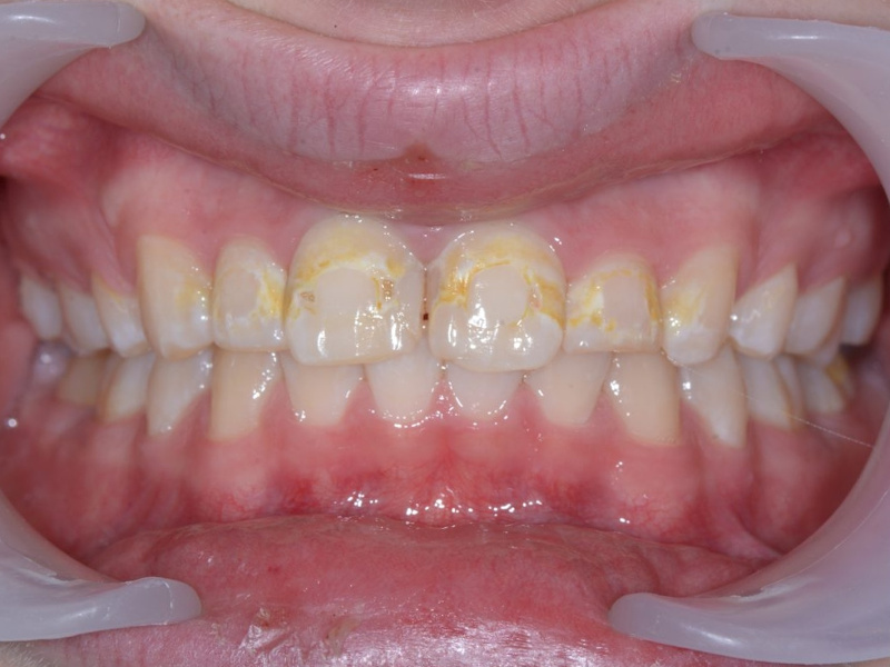
Initialkaries
Grav initialkaries
Rotresorption
Resorptionsgrader
Snuserosion
Du är här:
Home
Information
Apparaturer
Komplikationer