Separering
Band
Fast bettspärr
Fast bettspärr
Fast bettspärr
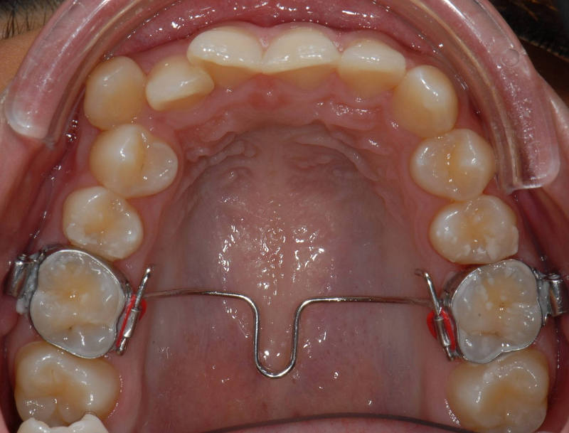
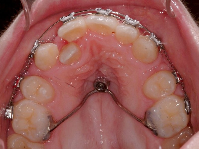
Goshgarian
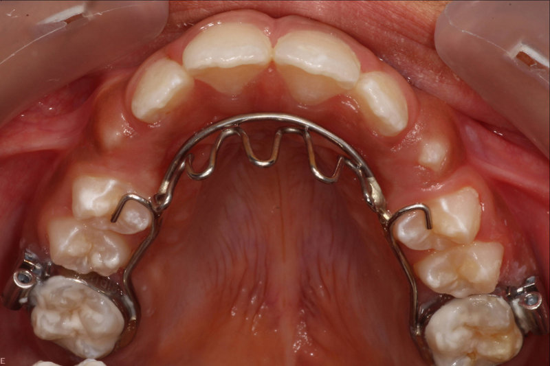
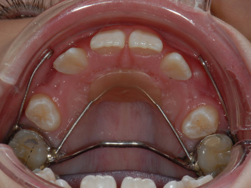
Lingualbåge ök
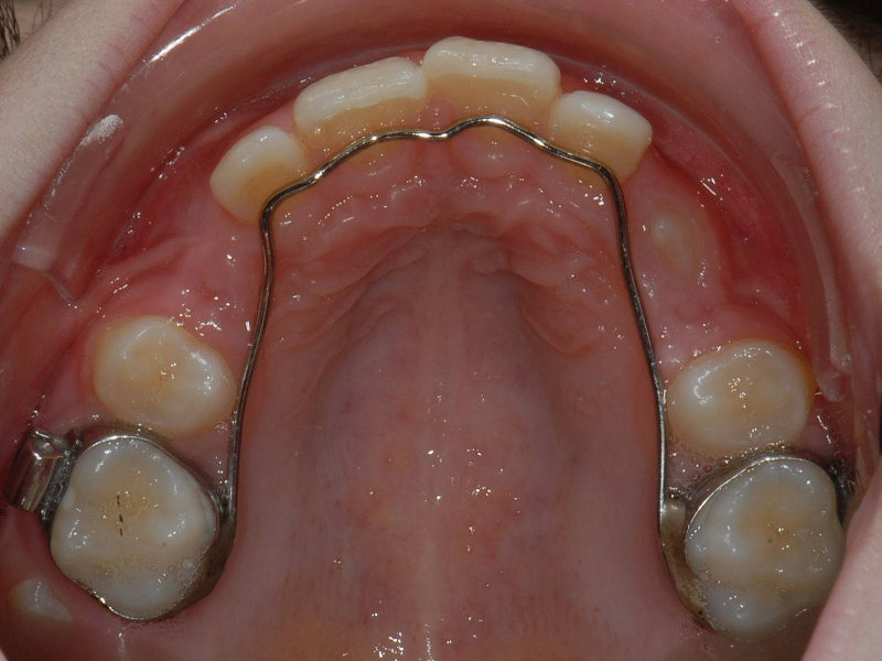
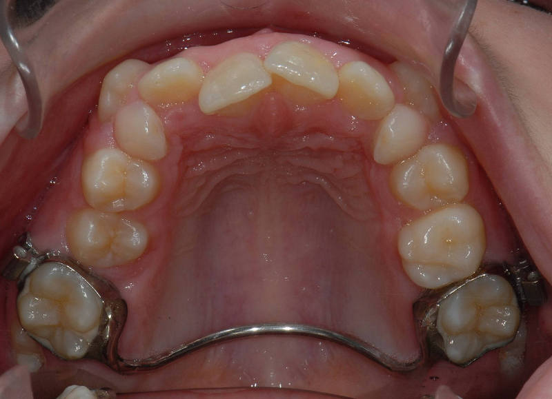
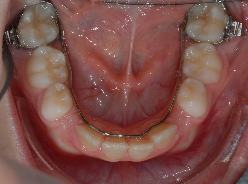
Lingualbåge uk
Lingualbåge med galler
Lingualbåge med galler
Mesial slider
Intrusion med "Mouse Trap"
Distal slider
Miniskruv
Miniskruv
Miniskruvar palatinal
Ortoimplant
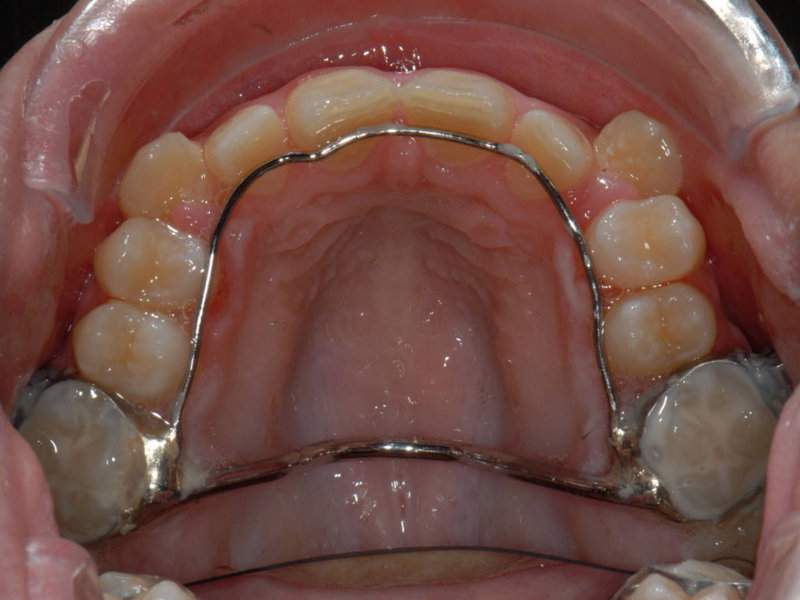
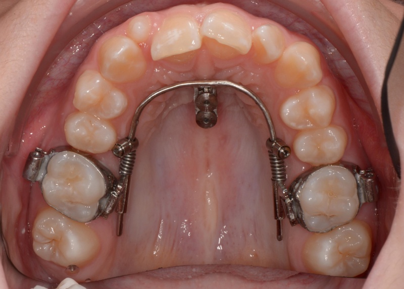
Transpalatinal bar
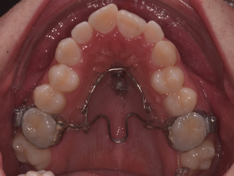
Dubbla Transpalatinala barer
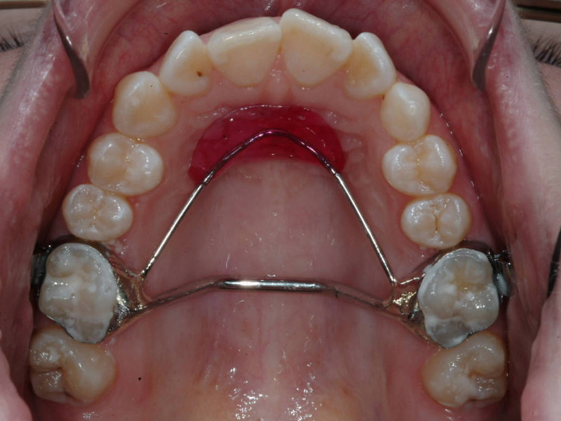
Transpalatinal bar med LIB
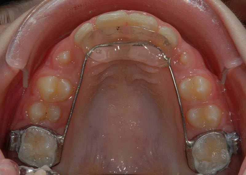
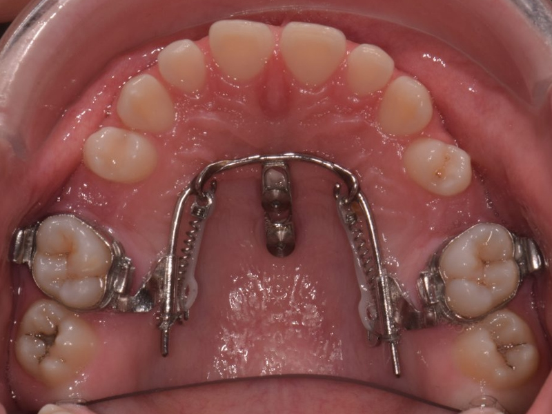
Transpalatinal bar med Nanceplatta
Transpalatinal bar med Nanceplatta
Transpalatinal bar (distalexcentrisk)
Transpalatinal bar med kula