Folktandvården Region Gävleborg
Information
Apparaturer
Extraorala apparaturer
Avtagbara apparaturer
Distalisering
Fast apparatur
Transversell vidgning
Förankring
Retention
Komplikationer
Estetik
Visa alla bilder
Konsultation
När visa vad vid ort-konsult?
Vad är en distanskonsultation?
Vad betyder för låg IOTN?
Hur fungerar IOTN?
Dental Health Component
Aesthetic Component
MOCDO snabbguide
Kan vuxna få tandreglering?
Gäller tiotandvård även för tandreglering?
Erbjuder vi behandling med aligners?
Checklistor
Styrdokument tandreglering
Tanderuption
Separering
Lingualbåge
Quad Helix
Transpalatinal bar
Lathund debitering basortodonti
Kostnader ortodontisk behandling
Debitering retentionsapparatur
Informationsblad
Aktivator - Bass
Aktivator - Teuscher
Fotografering
Våra specialister
Orto Lab
Här finns vi
Kontakta oss
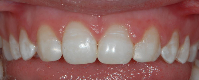
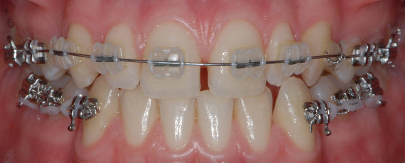
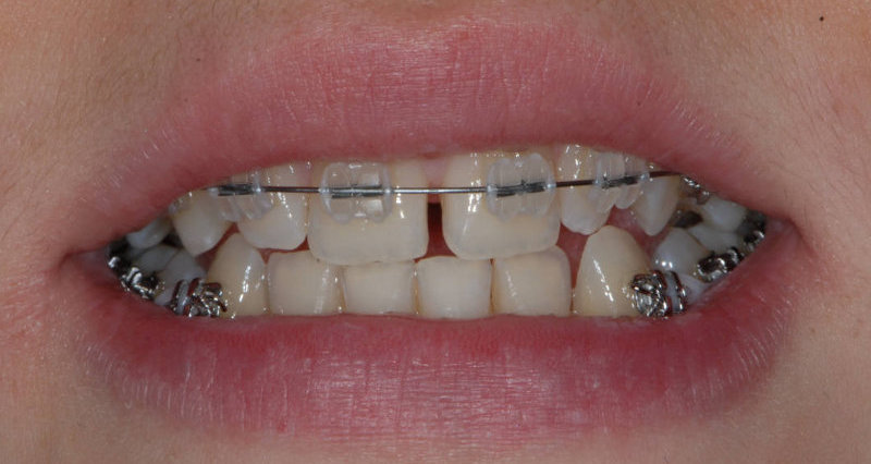
Estetik
Clarity brackets 13-23
Clarity brackets 13-23
Före uppbyggnad av 13 & 23
Efter uppbyggnad av 13 & 23
Du är här:
Home
Information
Apparaturer
Estetik