• cr-el01Saxbitning
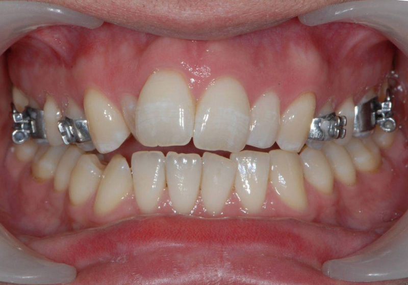
  • cr-el02Cross Elastics
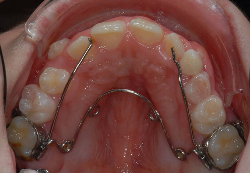
  • qh01Quad Helix
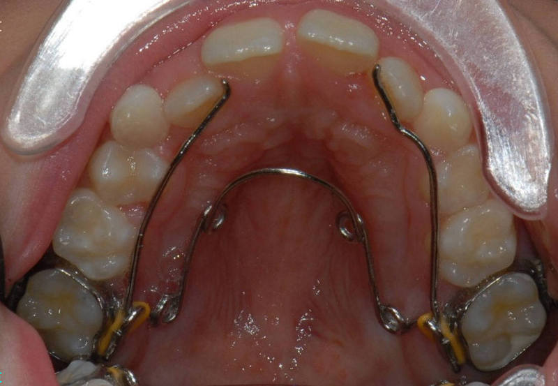
  • qh02Quad Helix
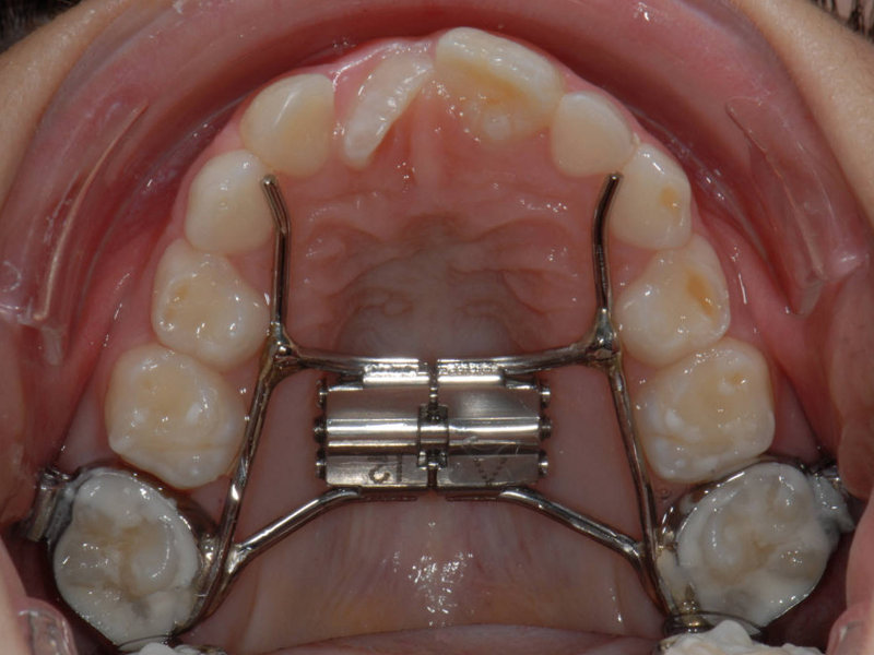
  • suturvidg00Suturvidgare (4 band)
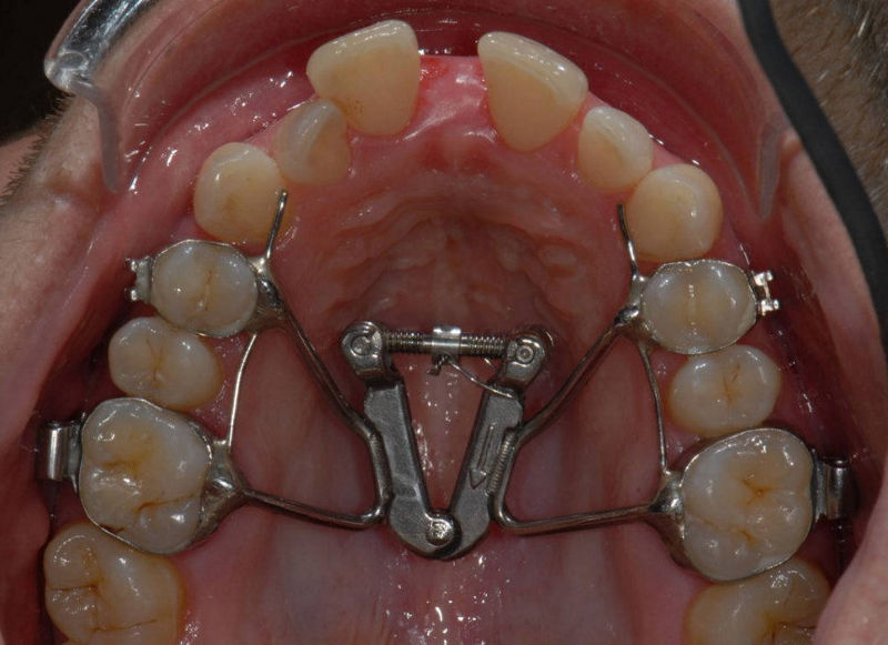
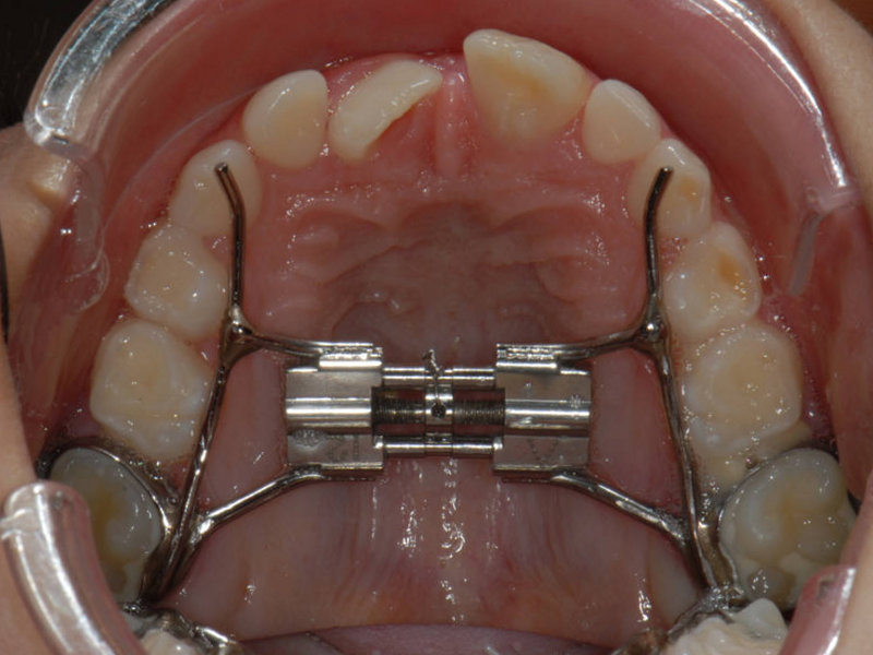
  • suturvidg01Suturvidgare (2 band)
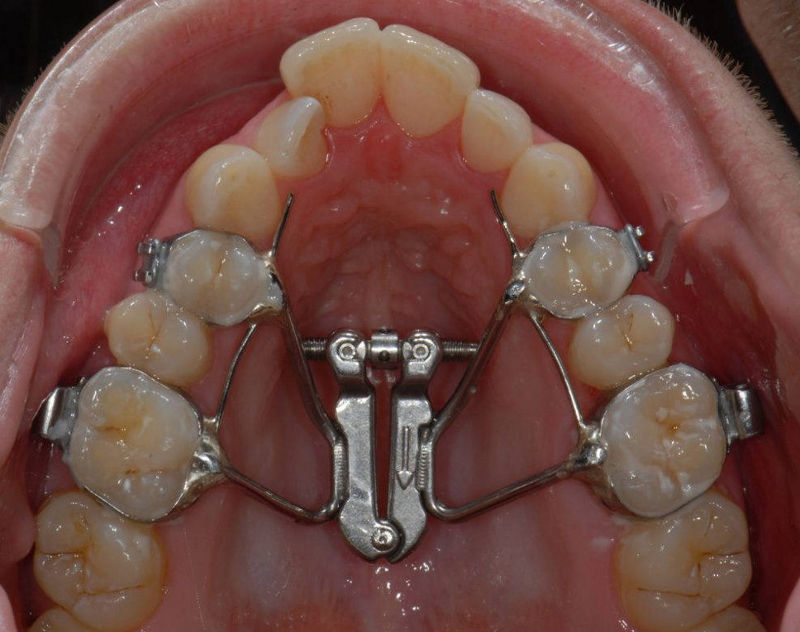
  • suturvidg02Suturvidgare (2 band)
  • suturvidg03Suturvidgare (2 band)
  • suturvidg04Suturvidgare (2 band)
  • suturvidgarefantype01Suturvidgare (fan-type)
  • suturvidgarefantype02Suturvidgare (fan-type)
  • suturvidgarefantype03Suturvidgare (fan-type)
  • suturvidgarefantype04Suturvidgare (fan-type)